Ankiloglosija je medicinski termin za stanje koje mnogi prepoznaju kao „sapet jezik“.
Ovo urođeno stanje se karakteriše abnormano kratkim, debelim ili zategnutim frenulumom, tkivnom vezom koja spaja dno jezika sa podom usne duplje.
Iako se često smatra beznačajnim, ankiloglosija može imati ozbiljne posledice po razvoj, ishranu i govor.
Ovaj članak će vam pružiti sveobuhvatno razumevanje ove pojave, od dijagnoze do tretmana.
Šta je ankiloglosija (sapet jezik)?
Ankiloglosija predstavlja anatomsku anomaliju usne duplje gde se frenulum jezika nalazi neposredno uz vrh jezika. Ovako pozicioniran frenulum ograničava pokretljivost jezika.
Važno je naglasiti da postoji širok spektar težine ovog stanja. Neki ljudi imaju samo blago ograničenje pokreta, dok drugi jedva mogu da pomere jezik izvan donjih zuba.

Prema težini, ovo stanje se klasifikuje u četiri kategorije.
Klasa 1 predstavlja blagi stepen gde je dužina slobodnog jezika iznosi 12 do 16 milimetara.
Klasa 2 obuhvata srednji stepen sa dužinom od 8 do 11 milimetara.
Klasa 3 se smatra visokim stepenom gde je dužina svega 3 do 7 milimetara.
Klasa 4 predstavlja totalnu ankiloglosiju gde je dužina slobodnog jezika manja od 3 milimetra.
Poslednje dve kategorije obično zahtevaju hiruršku intervenciju.
Ova procedura podrazumeva seciranje frenuluma jezika kako bi se omogućila veća pokretljivost.
Kako prepoznati ankiloglosiju kod beba?
Ankiloglosija je relativno često stanje koje pogađa oko 10% novorođenčadi.
Kod odojčadi, ankiloglosija se često manifestuje kroz probleme sa dojenjem.
Beba sa ovim stanjem obično ima poteškoće da se pravilno uhvati za dojku. Često čujete pucketanje tokom hranjenja, a beba može brzo da se umori i ostane gladna.
Majke često osećaju bol u bradavicama ili primećuju da se beba lako guši tokom hranjenja.
Postoje i drugi znaci koji ukazuju na sapet jezik. Beba možda ne može da isplazi jezik preko donje usne ili da dodne do nepca.
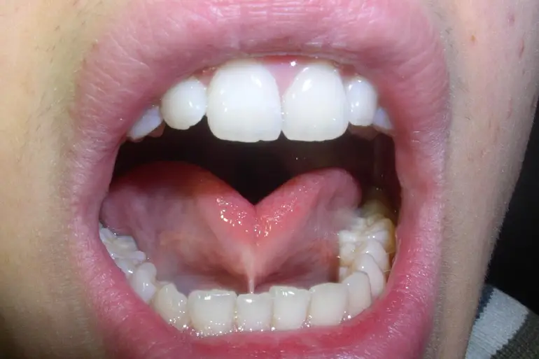
Često se primećuje i karakterističan oblik jezika, kada beba pokuša da ga isplazi, vrh jezika može poprimiti oblik srca zbog zategnutog frenuluma.
Ovi simptomi ne treba da se zanemare jer mogu dovesti do nedovoljnog unosa hrane.
Kod starije dece, sapet jezik može izazvati probleme sa artikulacijom određenih glasova. Posebno su problematični glasovi koji zahtevaju podizanje jezika ka nepcu kao što su „t“, „d“, „n“.
Dete može imati poteškoće i sa čišćenjem zuba jezikom, što doprinosi lošijoj oralnoj higijeni.
Dijagnoza i procena ankiloglosije
Dijagnoza ankiloglosije zahteva pažljivu procenu od strane lekara. Pedijatar, stomatolog ili logoped mogu postaviti dijagnozu kroz klinički pregled.
Lekar će prvo proveriti opseg pokreta jezika, koliko beba ili dete može da podigne jezik ka nepcu i da ga isplazi iz usta.
Takođe, lekar će posmatrati oblik vrha jezika kada je on u pokretu. Kod ankiloglosije, vrh jezika često postaje usečen ili poprima oblik srca pri pokušaju isplazivanja.
Bitno je i proveriti kako frenulum utiče na funkcije poput gutanja i govora.
Metodi lečenja ankiloglosije
Kada se dijagnostikuje ankiloglosija, pristup lečenju zavisi od uzrasta i težine simptoma.
Frenotomija je najčešći procedure kod odojčadi. Ova jednostavna procedura podrazumeva presecanje frenuluma pomoću sterilnih makaza ili lasera.
Laserska frenotomija omogućava precizniji rez, simultanu sterilizaciju rane i smanjeno krvarenje. Ova metoda je posebno pogodna za malu decu.
Frenotomiju obično izvodi pedijatar, hirurg ili specijalista za oralnu hirurgiju.
Kod malih beba, procedura je brza i često ne zahteva anesteziju jer je frenulum tanko tkivo sa malo krvnih sudova.
Roditelji često primećuju poboljšanje u dojenju već narednog dana.
Za složenije slučajeve ili kod starije dece, može biti potrebna frenuloplastika.
Ova hirurška intervencija je složenija i podrazumeva restrukturiranje frenuluma pod opštom anestezijom.
Posle operacije, savremeni tretmani uključuju i specijalizovane vežbe. Ove vežbe pomažu u jačanju mišića jezika i poboljšanju pokretljivosti.
Logoped igra ključnu ulogu u ovom procesu, posebno kod starije dece i odraslih.
Važno je napomenuti da ne zahtevaju svi slučajevi ankiloglosije hiruršku intervenciju.
Kod blagih slučajeva koji ne uzrokuju probleme sa hranjenjem ili govorom, lekar može preporučiti praćenje stanja.
Posledice nelečene ankiloglosije
Ako se ne leči, ankiloglosija može imati značajne dugoročne efekte.
Kod dece, može doći do poremećaja u razvoju vilica i zuba. Ovo stanje može izazvati malokluziju i prenatrpanost zubima zbog ograničene pokretljivosti jezika.
Takođe, ankiloglosija može dovesti do problema sa govorom koji se protežu u odraslo doba.
Ankiloglosija kod odraslih često izaziva poteškoće sa izgovorom određenih glasova, što može uticati na profesionalni i socijalni život.
Osobe mogu izbegavati aktivnosti koje zahtevaju široko otvaranje usta ili izražavanje jezikom.
Ankiloglosija ima direktan uticaj i na oralno zdravlje. Ograničena pokretljivost jezika onemogućava pravilno samočišćenje zuba.
Jezik ne može da ukloni zaostale delove hrane sa zuba i desni, što povećava rizik od karijesa i gingivitisa.
Takođe, ankiloglosija može doprineti razvoju disfunkcije temporomandibularnog zgloba (TMZ).
Osobe sa ovim stanjem često razviju nepravilne obrasce žvakanja i gutanja, što stvara dodatni pritisak na vilični zglob. Ovo može dovesti do bolova u vilici, glavobolje i čak bolova u vratu.
Zaključak
Ankiloglosija, poznata i kao sapet jezik, predstavlja stanje čiji značaj se u potpunosti razumeo tek u poslednje vreme.
Iako se radi o relativno čestoj anomaliji, njene implikacije mogu biti duboke i višestruke.
Kod odojčadi, problemi sa dojenjem često predstavljaju prvi alarmantni znak. Beba sa ankiloglosijom može imati poteškoća sa pravilnim zahvatanjem dojke, što dovodi do neefikasnog hranjenja i nedovoljnog unosa hrane.
Ovo stanje utiče i na majku, izazivajući bolove tokom dojenja.
Kako dete raste, ograničena pokretljivost jezika počinje da utiče na razvoj govora, posebno na artikulaciju glasova koji zahtevaju kontakt jezika sa nepcem.
Dugoročno, ovo stanje može doprineti i problemima sa zubnim nizom.
Srećom, savremena medicina nudi efikasna rešenja. Frenotomija, kao minimalno invazivna procedura, donosi brzo olakšanje kod većine slučajeva.
Za složenije situacije, frenuloplastika pruža temeljnije rešenje. Odluku o tretmanu donosi tim stručnjaka, uključujući pedijatra, logopeda i oralnog hirurga.
Ankiloglosiju bi trebalo shvatiti ozbiljno, ali ne i tragično. Pravovremenom dijagnozom i adekvatnim tretmanom moguće je sprečiti većinu komplikacija.
Svaki slučaj je jedinstven i zahteva pažljivo procenjivanje kako bi se donela najbolja odluka za detetov dugoročni razvoj i kvalitet života.
eStomatologija Team čini nekoliko doktora stomatologije koji nastoje da pruže čitaocima savete i uvide iz najnovijih istraživanja o različitim stomatološkim temama na zabavan i razumljiv način.







