Impaktirani umnjak predstavlja situaciju u kojoj treći kutnjak ne može da izraste na svoje mesto zbog fizičke prepreke.
Ta prepreka je najčešće nedostatak prostora u vilici, ali i postojanje susednih zuba ili gusta kost.
Kada se to desi, zub ostaje delimično ili potpuno zarobljen ispod desni ili u kosti.
Ovo stanje je izuzetno često; prema nekim procenama, čak 70% umnjaka raste distopično ili impaktirano.
Ovaj članak će vas detaljno provesti kroz svet impaktiranih umnjaka, od prvih simptoma i dijagnoze, preko samog hirurškog zahvata, pa do saveta za brz i lak oporavak.
Šta je impaktirani umnjak?
Impaktirani umnjak je zub koji ne može da izbije u potpunosti ili uopšte. Obično se to dešava u uzrastu od 17 do 25 godina, kada „osmice“ pokušavaju da se probiju.
Nažalost, savremena vilica često nema dovoljno mesta za njih.
Kao posledica toga, umnjak može da raste pod različitim uglovima: mezijalno (prema drugom kutnjaku), horizontalno (potpuno ukoso), distalno (prema nazad) ili vertikalno (kao i drugi zubi, ali ostaje zarobljen u kosti).

Pored nedostatka prostora, postoje i drugi uzroci. Nasleđe igra značajnu ulogu, geni određuju veličinu vaše vilice.
Takođe, ranija ortodontska terapija može uticati na poziciju korena susednih zuba, dodatno blokirajući put impaktiranom umnjaku.
Važno je znati da postoji potpuna impakcija (zub je skriven ispod desni) i delimična impakcija (krunica zuba delimično viri).
Impaktirani umnjak simptomi
Simptomi impaktiranog umnjaka ne moraju uvek da budu očigledni. Zapravo, neki ljudi žive sa ovim zubima godinama a da to i ne znaju.
Međutim, kada se pojave, simptomi mogu biti veoma neprijatni i uporni.
Prvi i najčešći znak je bol u vilici. Ovaj bol često nije oštar, već tup i pulsirajućeg karaktera. Može da se javlja povremeno ili da postane konstantan, naročito kada žvaćete hranu na toj strani.
Pored bola, gotovo uvek se javlja i otok i crvenilo desni koje prekriva impaktirani zub. Desni postaju osetljive na dodir, a pritisak četkicom može biti veoma neprijatan.
Zbog nemogućnosti pravilnog čišćenja, hrana i bakterije se lako nakupljaju ispod desni. Kao posledica toga, osećaćete neprijatan ukus u ustima i primetićete loš zadah koji ne nestaje ni posle pranja zuba.
U nekim slučajevima, infekcija se može proširiti i izazvati perikoronitis. Ovo je akutno zapaljenje koje donosi jak bol, oticanje obraza, a ponekad čak i nemogućnost potpunog otvaranja usta (trizmus).
Kada primetite ove znake, nemojte ih ignorisati. Što duže čekate, to infekcija može dublje da uđe u kost i meka tkiva.
Tada lečenje postaje komplikovanije, a oporavak duži i bolniji. Pravovremena poseta stomatologu je od najvećeg značaja.
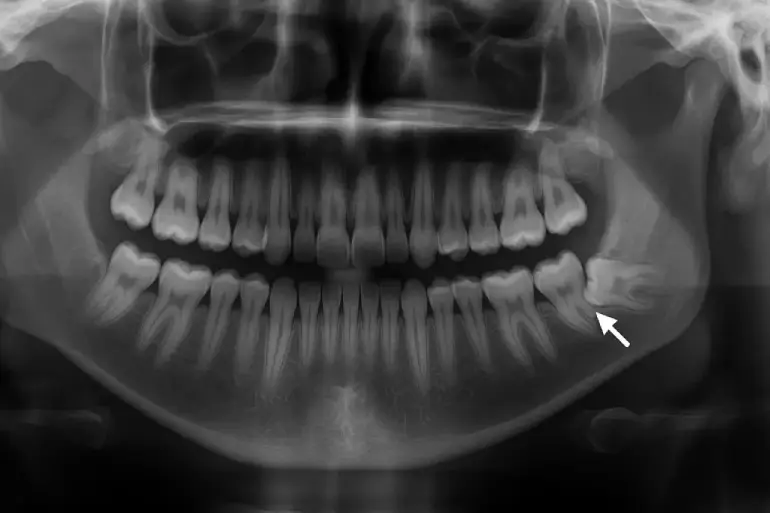
Dijagnoza: Zašto je rendgenski snimak neophodan?
Dijagnoza impaktiranog umnjaka počinje redovnim stomatološkim pregledom. Prilikom pregleda, stomatolog će vizuelno proveriti vaše desni i zube.
On će tražiti znake crvenila, otoka ili eventualnog nagomilavanja hrane iza poslednjeg kutnjaka.
Međutim, ovo je samo prvi korak. Da bi video šta se dešava ispod površine, stomatolog mora da napravi rendgenski snimak.
Ortopantomogram (ortopan) je zlatni standard za dijagnozu impaktiranih umnjaka. Ovaj snimak daje pregled cele gornje i donje vilice na jednom filmu.

Na njemu lekar jasno vidi tačan položaj svakog impaktiranog zuba, njegovu orijentaciju (da li raste ukoso, horizontalno ili vertikalno), oblik i broj korenova, kao i njihov odnos sa okolnim vitalnim strukturama.
Posebno je važan odnos između korena donjeg umnjaka i donjeg alveolarnog nerva.
Ovaj nerv inerviše usnu, bradu i deo desni. Ukoliko snimak pokaže da koren umnjaka prodire u kanal ili ga preklapa, hirurg mora da bude izuzetno oprezan prilikom vađenja.
Povreda ovog nerva može dovesti do privremenog ili trajnog trnjenja ili gubitka osećaja.
U komplikovanijim slučajevima, stomatolog će uputiti pacijenta na kompjuterizovanu tomografiju.
Ova 3D tehnologija daje potpunu prostornu sliku i pomaže hirurgu da precizno isplanira operaciju, smanjujući rizik od oštećenja nerava ili susednih zuba.
Impaktirani umnjak terapija
Lečenje impaktiranog umnjaka ne podrazumeva uvek hitnu operaciju. Stomatolog će prvo proceniti vaš konkretan slučaj.
Ukoliko je impaktirani umnjak potpuno asimptomatski, ne boli, ne smeta pri žvakanju i nalazi se u povoljnom položaju, lekar može preporučiti samo redovno praćenje.
To podrazumeva kontrolne rendgenske snimke svakih nekoliko godina kako bi se pratilo eventualno pomeranje zuba ili razvoj ciste.
Međutim, kada se pojave simptomi, lečenje gotovo uvek uključuje hirurško vađenje (alveotomiju).
Postoji nekoliko jasnih indikacija za operaciju. Prva je rekurentna infekcija (perikoronitis). Ako vam se desni više puta upale, oteknu ili iz njih curi gnoj, zub mora napolje.

Druga indikacija je oštećenje susednog zuba. Impaktirani umnjak može da ugrožava koren ili krunu drugog kutnjaka, izazivajući karijes ili resorpciju korena.
Treća važna indikacija je pojava patoloških promena u kosti, poput folikularne ciste. Ove ciste rastu polako, ali mogu da unište značajnu količinu vilice.
Konačno, vađenje zuba se preporučuje i pre započinjanja ortodontske terapije, kako umnjak ne bi gurao ostale zube i ometao efekat proteze.
Operacija se radi u lokalnoj anesteziji, a hirurg često zub secira na delove kako bi izbegao preveliku traumu okolnog tkiva. Oporavak traje nekoliko dana, uz adekvatnu postoperativnu negu.
Kako izgleda vađenje impaktiranog umnjaka?
Vađenje impaktiranog umnjaka, odnosno alveotomija, zvuči zastrašujuće, ali je to svakodnevna i rutinska procedura za oralne hirurge.
Pre samog početka, hirurg će vam dati lokalnu anesteziju. Ovo je ista injekcija koju dobijate za popravku zuba, samo u malo većoj količini. Za par minuta, čitava regija će utrnuti i nećete osećati bol.
Prvi hirurški korak je incizija, mali rez kojim hirurg podiže desni i otkriva kost ispod nje.
Kada dođe do kosti, često je potrebno ukloniti deo koštanog tkiva koje prekriva zub.
Hirurg to radi posebnim sterilnim svrdlom uz obilno hlađenje fiziološkim rastvorom.
Zatim, hirurg pokušava da izvadi zub posebnim polugama (elevatorima).
Međutim, pošto je zub često nepravilnog oblika ili je blokiran susednim zubom, on ga obično secira na nekoliko delova (najčešće na 2 ili 3 dela) pomoću istog svrdla.
Vađenje delova jednog po jednog je mnogo lakše i manje traumatično nego pokušaj da se izvadi ceo zub na silu.
Nakon što hirurg izvadi sve delove, on temeljno ispituje ranu da u njoj ne ostane nijedna koštana krhotina ili ostatak zuba.
Zatim postavlja konce koji spajaju ivice rane. Konci mogu biti klasični (koje skidate za 7-10 dana) ili samoresorbujući (nestaju sami).
Čitav postupak u proseku traje između 20 i 45 minuta, u zavisnosti od toga koliko je vađenje zuba komplikovano.
Oporavak nakon operacije
Ono što sledi nakon operacije je podjednako važno kao i sam zahvat. Oporavak obično traje od 3 do 7 dana.
Prva 24 sata su ključna za formiranje stabilnog krvnog ugruška. Zato, koristite hladne obloge spolja (20 minuta hlađenja, 20 minuta pauze) kako biste sprečili otok.
Jedite samo hladnu i mlaku tečnu hranu (jogurt, supu). Ne ispirate usta na silu, ne pljujete i ne pijete na slamčicu!
Ove radnje mogu da izbace ugrušak iz rane i izazovu alveolitis, izuzetno bolno stanje koje odlaže zarastanje.
Nakon 48 sati, prelazite na tople obloge. One podstiču cirkulaciju i ubrzavaju resorpciju modrica. Sada možete nežno da ispirete usta rastvorom mlake vode i soli (1 kašičica soli na čašu vode).
Izbegavajte nagle pokrete glavom, saginjanje i bilo kakav fizički napor. Ove aktivnosti povećavaju pritisak u krvnim sudovima glave i mogu da izazovu krvarenje iz rane.
Što se tiče ishrane, postepeno uvodite kašastu hranu (pire krompir, pasirane čorbe). Izbegavajte mlečne proizvode prvih nekoliko dana, jer oni mogu podstaći razvoj bakterija.
Konce će vam hirurg skinuti na kontrolnom pregledu, obično nakon 7 do 10 dana.
Ukoliko primetite jak bol koji se ne smiruje lekovima, temperaturu ili gnojenje rane, odmah se javite svom hirurgu.
Stručnjaci naglašavaju da žene nešto intenzivnije osećaju postoperativni bol u odnosu na muškarce, ali to ne utiče na brzinu oporavka.
Pogledajte detaljnije uputstva za oporavak posle vađenja zuba.
Zaključak
Impaktirani umnjak predstavlja čest, ali potencijalno ozbiljan stomatološki problem.
Kao što smo videli, on može dugo da miruje, ali isto tako može da izazove bol, infekciju i oštećenje susednih zuba.
Rana procena od strane oralnog hirurga omogućava lakšu operaciju i brži oporavak.
Ako vam hirurg preporuči vađenje, ne plašite se. Savremena oralna hirurgija raspolaže efikasnim anesteticima i tehnikama koje čine sam zahvat bezbolnim i relativno kratkim.
Razgovarajte sa svojim stomatologom, napravite snimak i donesite informisanu odluku. Na taj način ćete izbeći nepotrebne komplikacije i sačuvati zdravlje.
eStomatologija Team čini nekoliko doktora stomatologije koji nastoje da pruže čitaocima savete i uvide iz najnovijih istraživanja o različitim stomatološkim temama na zabavan i razumljiv način.




