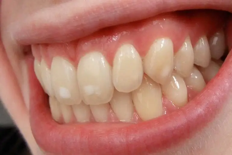
Bele fleke na zubima predstavljajuju jedan od najčešćih estetskih i zdravstvenih problema koji zabrinjavaju pacijente svih uzrasta.
Ove promene često izgledaju kao sitne, kredaste tačke ili veće mat površine na zubima.

U ovom članku ćemo detaljno istražiti zašto se bele fleke pojavljuju i koje metode lečenja daju najbolje rezultate.
Takođe, podelićemo savete za prevenciju i odgovorićemo na neka od najčešćih pitanja pacijenata.
Šta su zapravo bele fleke na zubima?
Bele fleke na zubima predstavljaju područja gleđi gde je došlo do gubitka minerala.
Gleđ, kao najtvrđa supstanca u ljudskom telu, sastoji se pretežno od kalcijum hidroksiapatita.
Kada kiseline koje proizvode bakterije u plaku ili iz hrane napadaju ovu strukturu, one izazivaju demineralizaciju.
Tokom ovog procesa, minerali nestaju s površine zuba, ostavljajući poroznu, svetliju oblast koja reflektuje svetlost drugačije nego zdrava gleđ. Stoga, te fleke često izgledaju bele ili krem boje.
Bele mrlje na zubima mogu biti prvi vidljivi znak karijesa u formiranju. U ovoj ranoj fazi, proces je još uvek reverzibilan uz pomoć fluorizacije zuba i pažljive higijene. Međutim, ako se zanemari, demineralizacija napreduje u kvar.
Bele fleke mogu biti i znak hipoplazije gleđi, stanja gde se gleđ nije pravilno formirala tokom razvoja zuba, najčešće zbog bolesti, visoke temperature ili određenih lekova u detinjstvu.
Zašto nastaju bele fleke na zubima
Postoji nekoliko ključnih faktora koji doprinose nastanku belih fleka.
Loša oralna higijena je vodeći uzrok. Nepravilno ili nedovoljno pranje zuba omogućava plaku da se zadrži na zubima, posebno duž linije desni. Zubni plak zatim proizvodi kiseline koje vremenom razgraduju gleđ.
Ishrana bogata kiselinama, poputo čestog konzumiranja sokova, gaziranih pića ili slatkiša, stvara savršeno okruženje za gubitak minerala.
Ortodontski aparati su takođe čest uzrok, posebno nakon njihovog skidanja. Pod bravicama se često nakuplja plak koji je teško očistiti, što dovodi do demineralizacije tačno na mestima gde su brave bile zalepljene.
Bele fleke na zubima mogu biti i znak fluoroze. Ovo stanje nastaje kada dete unese previše fluora dok mu se zubi još uvek formiraju. Fluoroza se manifestuje u rasponu od blagih belih linija do težih, braon mrlja i čak erozija.
Zatim, određeni sistemski faktori takođe igraju ulogu. Respiratorne infekcije ili visoke temperature u ranom detinjstvu mogu ometati normalno stvaranje gleđi.
Kako razlikovati bezopasne fleke od karijesa?
Bezopasne hipoplastične fleke obično su glatke i u nivou sa površinom zuba. Nasuprot tome, rane demineralizacije zbog karijesa često su hrapavije i mat.
Kada se zub osuši vazduhom, područja demineralizacije postaju još izraženije bele boje, dok se zdrava gleđ brzo vrati u normalnu boju.
U savremenim ordinacijama, fluorescentne kamere ili laserski uređaji za rano otkrivanje karijesa mogu dati precizniju procenu dubine i aktivnosti lezije.
Takođe, važno je uzeti u obzir lokaciju fleka. Bele mrlje na prednjim zubima često ukazuju na fluorozu ili hipoplaziju, dok one na bočnim zubima, posebno uz desni, češće govore o demineralizaciji usled plaka.
Lečenje
Stomatologija danas nudi više opcija za rešavanje ovog problema, u zavisnosti od uzroka i težine.
Za rane, aktivne bele fleke nastale zbog dejstva kiselina, najbolji pristup je fluorizacija zuba, odnosno remineralizacija. Stomatolog može primeniti visokokoncentrisane fluoride u obliku laka ili gela. Ovi preparati stimulišu povratak minerala u gleđ.
Za fleke koje nisu nastale usled dejstva kiselina, mikroabrazija je minimalno invazivan izbor.
Ova tehnika koristi blagu kiselinu u kombinaciji sa abrazivnim česticama da pažljivo ukloni tanki, poremećeni sloj gleđi. Mikroabrazija često potpuno eliminiše plitke fleke.
Za dublje fleke ili one uzrokovane fluorozom, izbeljivanje zuba može pomoći u izjednačavanju boje. Međutim, ponekad bele fleke mogu postati privremeno još uočljivije, jer se okolna zdrava gleđ posvetli, a demineralizovano područje manje.
U slučajevima kada druge metode nisu dovoljne, kompozitni ispun (tzv. bela plomba) postaje odlično rešenje. Stomatolog nanosi sloj kompozitnog materijala boje zuba koji se veže za gleđ i potpuno prekriva fleku.
Za izraženije promene, luminiri pružaju trajno i izuzetno estetsko rešenje, jer potpuno menjaju izgled prednje površine zuba.
Ove tanke keramičke ljuspice lepe se na spoljašnji deo zuba i vrlo uspešno prikrivaju bele fleke. Uz to, njihova ugradnja ne zahteva brušenje zuba, što ih čini potpuno neinvazivnom opcijom.
Prevencija
Prevencija je uvek jednostavnija od lečenja. Dosledna oralna higijena sa fluoridnom pastom je absolutna osnova. Perite zube dva puta dnevno i koristite konac za zube.
Fluor igra veliku ulogu u jačanju zuba. Pasta sa fluorom pomaže da se minerali vrate u oslabljene delove i tako sprečava nastanak novih belih fleka.
Međutim, još bolje rezultate daje kombinacija paste i profesionalnih fluoridnih tretmana kod stomatologa. Tako se gleđ stabilizuje, a zubi postaju otporniji.
Pravilna ishrana je takođe važna. Kada smanjite unos kiselih napitaka i slatke hrane, smanjujete i rizik od demineralizacije. Umesto toga, birajte vodu, mlečne proizvode i hranu bogatu kalcijumom. Tako podržavate prirodnu regeneraciju zuba.
Ako nosite fiksnu protezu, higijena dobija još veći značaj. Bravice skupljaju više plaka i zato morate da čistite zube sporije i temeljitije. Ortodont može preporučiti i dodatna sredstva poput gelova sa fluorom ili posebnih četkica koje olakšavaju čišćenje.
Na kraju, redovne kontrole kod stomatologa omogućavaju da se svaka promena otkrije rano. Tako zubi ostaju zdravi, a bele fleke se ne razvijaju u ozbiljniji problem.
Zaključak
Bele fleke na zubima su čest problem sa višestrukim uzrocima, od ranog karijesa i loše higijene do razvojnih poremećaja i fluoroze.
Iako mogu izgledati zabrinjavajuće, one su najčešće potpuno rešive uz savremene stomatološke postupke.
Dok blage fleke možete pobediti remineralizacijom, za trajnije promene postoje opcije poput mikroabrazije, kompozita ili luminira.
Pametnije je, međutim, fokusirati se na prevenciju kroz dobru oralnu higijenu, balansiranu ishranu i redovne posete stomatologu.
eStomatologija Team čini nekoliko doktora stomatologije koji nastoje da pruže čitaocima savete i uvide iz najnovijih istraživanja o različitim stomatološkim temama na zabavan i razumljiv način.







