Fiksna proteza predstavlja zlatni standard u lečenju nepravilnog položaja zuba i vilica.
Za razliku od mobilnih proteza koje pacijent može skidati, fiksni aparat se sastoji od bravica i žica koje su zalepljene na zube. To omogućava precizno i kontrolisano pomeranje zuba tokom dužeg vremenskog perioda.
Osnovna prednost fiksne ortodontske proteze leži u njenoj efikasnosti i univerzalnosti.
Dok se mobilni aparati često koriste za manje korekcije ili održavanje postignutih rezultata, fiksni sistem može rešiti čak i najsloženije slučajeve: velike razmake, preklapanje, otvoreni zagrižaj, kao i anomalije vilica.

Savremeni materijali, od estetskih keramičkih bravica do gotovo nevidljivih lingvalnih sistema, čine ovaj tretman prihvatljivijim i za odrasle pacijente koji žele da diskretno poboljšaju svoj osmeh.
Proces lečenja zahteva strpljenje i posvećenost, ali rezultati su pre svega funkcionalni i dugotrajni.
Pravilno poravnati zubi ne samo da izgledaju lepše, već su i lakši za čišćenje, što smanjuje rizik od karijesa i parodontalnih oboljenja. Poboljšana okluzija sprečava trošenje zuba i bolove u vilici.
Fiksna proteza, u suštini, nije samo estetski zahvat, to je sveobuhvatan tretman koji utiče na celokupno oralno zdravlje i samopouzdanje pacijenta, čineći ga investicijom u kvalitetniji život.
Kako fiksna proteza ispravlja zube?
Fiksna ortodontska proteza, poznata i kao fiksni ortodontski aparat, se sastoji od bravica koje se lepe na površinu zuba i žica koje ih povezuju. Ove žice stvaraju pritisak na zube, što omogućava njihovo pomeranje u željeni položaj.
Kada se bravice i žice postave, one generišu konstantnu silu koja postepeno pomera zube. Ovaj proces može trajati nekoliko meseci do nekoliko godina, u zavisnosti od težine ortodontskih problema.
Glavni cilj fiksne proteze je ispravljanje nepravilnosti u položaju zuba i zagrižaju, što ne samo da poboljšava estetiku, već i doprinosi zdravlju zuba, desni i vilica.
Fiksni ortodontski aparat postavlja i uklanja isključivo specijalista ortodoncije, što osigurava pravilno korišćenje i maksimalne rezultate terapije.
Ovaj aparat je često neophodan za decu i adolescente, ali se može koristiti i kod odraslih, bez obzira na starosnu dob.
Kako izgleda proces postavljanja fiksne proteze
Pre postavljanja proteze, ortodont obavlja detaljan pregled zuba i vilica, uključujući rendgenske snimke i uzimanje otisaka zuba. Ovi podaci pomažu u planiranju tretmana.
Zubi se temeljno čiste kako bi se osiguralo da su površine zuba glatke i spremne za lepljenje bravica. Ovaj korak je važan za dobru adheziju.
Ortodont nanosi specijalni lepak na zube i postavlja bravice. Svaka bravica se pažljivo pozicionira na odgovarajući zub.
Nakon što su bravice postavljene, ortodont povezuje bravice sa žicom koja će vršiti pritisak na zube. Ova žica se fiksira na bravice pomoću malih gumica ili metalnih klipova.
Nakon postavljanja, ortodont može izvršiti dodatna podešavanja kako bi osigurao da je sve pravilno postavljeno i da će proteza efikasno raditi.
Na kraju, pacijent dobija uputstva o pravilnoj oralnoj higijeni i ishrani tokom nošenja fiksne proteze, uključujući savete o tome kako se brinuti o zubima i protezi.
Ceo proces postavljanja fiksne proteze obično traje oko 40 minuta po vilici i ne zahteva anesteziju, jer je postupak bezbolan.
Vrste fiksnih proteza
Postoji nekoliko vrsta fiksnih ortodontskih proteza, svaka sa svojim specifičnim karakteristikama i prednostima.
Metalna fiksna proteza
Metalna fiksna proteza, prepoznatljiva po svojim karakterističnim bravicama od nerđajućeg čelika, i dalje predstavlja najčešće korišćen i najpouzdaniji izbor za korekciju zuba širom sveta.
Za početak, njena glavna prednost leži u izuzetnoj čvrstoći koja omogućava efikasno nošenje sa velikim silama prilikom pomeranja zuba.
Zbog toga, ortodonti je posebno preporučuju za rešavanje složenih slučajeva, poput ozbiljnih preklapanja, prekobrojnih zuba ili korekcije vilica.

Savremeni dizajn metalnih bravica danas je takav da su daleko manje i ergonomskije nego ranije. Ovo značajno smanjuje početnu nelagodnost i iritaciju obraza i usana.
Moderni adhezivni materijali omogućavaju sigurno i precizno lepljenje, čime se eliminiše potreba za preteranim brušenjem zuba.
Metalni aparati su često i najekonomičnija opcija za većinu pacijenata. Njihova pouzdanost direktno doprinosi kraćem vremenu lečenja i manjem broju hitnih intervencija, poput lomljenja bravica.
Ova pouzdanost takođe omogućava ortodontu da postigne veću predvidljivost u kretanju zuba.
U suštini, metalna fiksna proteza ostaje zlatni standard u ortodonciji, jer nudi kombinaciju snage, efikasnosti i pristupačnosti za dugotrajne, stabilne rezultate.
Keramička proteza
Keramička fiksna proteza predstavlja savršen spoj vrhunske estetike i funkcionalnosti u savremenoj ortodonciji.
Za početak, njene brave su izrađene od prozirnog, visokokvalitetnog keramičkog materijala koji se izuzetno dobo prirodno boji zuba.
Zbog toga, ova rešenja postaju gotovo nevidljiva na prvi pogled, što ih čini idealnim izborom za odrasle pacijente i one kome je izgled tokom lečenja od posebnog značaja.

Zatim, keramičke brave poseduju izvanrednu glatkoću površine. Ova karakteristika direktno smanjuje mogućnost iritacije mekog tkiva usana i obraza, čime povećava komfor tokom celokupnog tretmana.
Savremeni keramički materijali su veoma otporni na bojenje, za razliku od kompozitnih alternativa, što im omogućava da dugo zadrže svoju prvobitnu, prirodnu boju.
Keramička proteza ne žrtvuje efikasnost zbog lepote. Ove brave pružaju odličnu kontrolu nad kretanjem zuba, omogućavajući ortodontu da postigne precizne rezultate, slične onima sa metalnim sistemom.
Međutim, važno je napomenuti da keramičke brave generisu nešto veće trenje u odnosu na metalne. Ovo ponekad može produžiti vreme trajanja lečenja za nekoliko meseci.
Samoligirajuća fiksna proteza
Samoligirajuća fiksna proteza predstavlja modernu alternativu klasičnoj ortodontskoj protezi.
Za razliku od tradicionalnih bravica, koje zahtevaju upotrebu ligatura (gumica) da drže žicu na mestu, samoligirajući sistem koristi posebno dizajnirane pametne brave sa kliznim mehanizmom.
Ovaj mehanizam omogućava žici da slobodno klizi, što onda postepeno i predvidljivo pomera zube.

Zbog ovog inovativnog dizajna, samoligirajuća fiksna proteza proizvodi manje trenja na zubima. Kao posledica toga, ortodont može da primeni blaže sile.
Ovo direktno vodi do znatno manje bolova za pacijenta tokom tretmana. Ova blagost čini tretman posebno pogodnim za pacijente sa osetljivim zubima ili onima koji se plaše nelagodnosti.
Dalje, samoligirajući sistem često skraćuje ukupno vreme lečenja. Eliminacija dodatnog otpora znači da zubi mogu efikasnije da se kreću ka željenom položaju.
Ovo takođe smanjuje broj potrebnih kontrola, što čini ceo proces praktičniji za ljude koji nemaju previše slobodnog vremena.
Konačno, ova konstrukcija olakšava i bolju oralnu higijenu. Bez gumica koje zadržavaju hranu i plak, čišćenje zuba postaje mnogo jednostavnije.
Samim tim, pacijenti imaju manji rizik od stvaranja belih mrlja ili karijesa tokom ortodontskog tretmana.
Nevidljiva fiksna proteza (lingvalna)
Lingvalna fiksna proteza predstavlja vrhunac diskretnosti u ortodontskoj terapiji.
Za početak, ključna karakteristika ovog sistema leži u njegovoj jedinstvenoj poziciji. Za razliku od svih drugih tipova fiksnih aparata, lingvalne brave se ne postavljaju na spoljašnju stranu zuba.
Umesto toga, ortodont ih fiksira na unutrašnju stranu (jezičnu ili lingvalnu površinu) zuba, čineći ih potpuno nevidljivim tokom svakodnevne komunikacije i smejanja.

Zbog ove specifične lokalizacije, ova proteza postaje idealan izbor za odrasle pacijente, javne ličnosti i sve one kojima je estetski aspekt apsolutni prioritet.
Međutim, ova nevidljivost zahteva i određena prilagođavanja. Na primer, početna faza nošenja često donosi izraženiju nelagodnost na jeziku i moguće smetnje u govoru. Srećom, većina pacijenata se veoma brzo navikne, obično u roku od nekoliko nedelja.
Lingvalni sistem zahteva i posebno visok nivo oralne higijene. Njegov položaj otežava čišćenje, pa su neophodne posebne tehnike i pomagala, kao što su vodeni irigatori i četkice sa uskim vrhom, kako bi se sprečilo nakupljanje plaka.
Takođe, procedura postavljanja je tehnički zahtevnija i dugotrajnija, što se direktno odražava na njenu višu cenu u poređenju sa konvencionalnim alternativama.
Providna fiksna proteza (aligner folije)
Folije za ispravljanje zuba su revolucionarno rešenje u ortodonciji koje kombinuje estetiku i funkcionalnost.
Za razliku od klasičnih bravica, ovaj sistem koristi seriju prozirnih, skoro nevidljivih alignera napravljenih od glatkog medicinskog silikona ili providnog plastičnog materijala.
Svaki aligner blago i postepeno pomera zube u predviđeni položaj, a pacijent ih menja na svake dve nedelje kako bi pratio napredak.
Budući da su folije za ispravljanje zuba potpuno prozirne, one su gotovo neprimetne tokom svakodnevnog korišćenja.
Ovo ih čini idealnim izborom za odrasle i adolescente koji žele da izbegnu metalu izgled klasičnih aparata.

Dobra strane je i to da se folije skidaju, što omogućava pacijentu da ih uklanja za vreme obroka i tokom pranja zuba. Ovo direktno doprinosi lakšem održavanju higijene usta i smanjenom riziku od karijesa tokom tretmana.
Međutim, ovakva sloboda zahteva i visok stepen discipline od pacijenta. Kako bi tretman bio uspešan, alignere je neophodno nositi najmanje 20-22 sata dnevno. U suprotnom, zubi se neće pomerati po planu, što može produžiti ukupno vreme lečenja.
Na kraju bi trebalo znati i to da su folije za ispravljanje zuba najprikladnije za rešavanje lakših i umerenih ortodontskih nepravilnosti, poput blagog preklapanja ili malih razmaka.
Svaka vrsta fiksne ortodontske proteze ima svoje prednosti i nedostatke, a izbor zavisi od individualnih potreba pacijenta, estetskih želja i složenosti ortodontskog problema.
Koliko dugo se nosi fiksna proteza
Trajanje nošenja fiksne proteze nije univerzalno i može značajno varirati od pacijenta do pacijenta.
Pre svega, prosečno vreme lečenja obično se kreće između 18 i 24 meseca. Međutim, ovaj rok je samo okvirna procena. Naime, na njega direktno utiče nekoliko ključnih faktora.
Prvo, težina i složenost slučaja su najvažniji uticaj. Na primer, lakši problemi, kao što su blagi preklopi ili manji razmaci, mogu se rešiti za samo 12 do 15 meseci.
Nasuprot tome, složene malokluzije, prekobrojni zubi ili ozbiljne anomalije vilica često zahtevaju 30 meseci ili duže.
Uzrast pacijenta takođe igra ulogu. Dok se zubi kod dece i adolescenata brže i lakše pomeraju, odraslima lečenje obično traje nešto duže zbog zrelije i gušće kosti.
Takođe, tip izabrane proteze može uticati na trajanje. Na primer, samoligirajuća fiksna proteza ponekad može skratiti lečenje za nekoliko meseci, jer je trenje manje.
Konačno, redovnost kontrola i saradnja pacijenta su od velikog značaja. Svako kašnjenje u zakazanim posetama ortodontu direktno oduzima vreme od planiranog roka.
Isto tako, nepoštovanje uputstva (lomljenje bravica, neodgovarajuća higijena) može dovesti do komplikacija koje produžavaju proces.
Stoga, vaša posvećenost je možda i najvažniji faktor koji određuje kada ćete konačno dobiti savršen osmeh.
Nakon uklanjanja fiksne proteze, često se preporučuje nošenje retejnera kako bi se zubi zadržali u novom položaju. Retejner se može nositi duže, posebno kod odraslih.
Kako održavati fiksnu protezu?
Održavanje fiksne ortodontske proteze je veoma bitno za zdravlje zuba i uspeh ortodontske terapije.
Zube treba prati nakon svakog obroka, kao i pre spavanja. Važno je očistiti sve površine zuba i delove proteze kako bi se uklonili ostaci hrane.
Preporučuje se korišćenje mekih četkica koje ne oštećuju desni i bravice. Takođe, specijalne interdentalne četkice mogu pomoći u čišćenju teško dostupnih mesta.
Takođe se preporučuje korišćenje rastvora i gelova za čišćenje koji su specijalno dizajnirani za fiksne proteze. Ovi proizvodi pomažu u održavanju svežine i čistoće proteze.
Treba izbegavati lepljive i tvrde namirnice koje mogu oštetiti protezu ili izazvati pomeranje bravica.
Važno je odlaziti na redovne preglede kod ortodonta kako bi se pratila efikasnost tretmana i pravovremeno rešavali eventualni problemi.
U nekim slučajevima, ortodont može preporučiti korišćenje dodatnih sredstava kao što su vodice za ispiranje usta ili zubni konac prilagođen za fiksne proteze.
Pravilno održavanje fiksne proteze ne samo da pomaže u očuvanju zdravlja zuba i desni, već i doprinosi uspehu celokupnog ortodontskog tretmana.
Kada je najbolje početi sa nošenjem fiksne proteze?
Idealno vreme za postavljanje fiksne proteze je tokom razvoja stalnih zuba , obično između 10. i 14. godine . U ovom periodu, zubi su još uvek u fazi rasta, što olakšava korekciju.
U nekim slučajevima, ako postoje ozbiljniji ortodontski problemi, može biti potrebno započeti tretman ranije. Ortodont može preporučiti fiksnu protezu čak i pre nego što svi stalni zubi izniknu.
Svaki pacijent je jedinstven, pa je važno da ortodont proceni specifične potrebe i preporuči najbolje vreme za početak nošenja fiksne proteze.
Da li nošenje fiksne proteze boli
Nošenje fiksne ortodontske proteze može izazvati određeni nivo nelagodnosti, ali većina pacijenata ne oseća jaku bol.
Nakon postavljanja proteze, pacijenti često osećaju blagu nelagodnost ili pritisak na zube. Ova nelagodnost obično traje od 1 do 3 dana.
Pacijenti često opisuju osećaj kao blago trnjenje ili napetost, posebno prilikom žvakanja čvrste hrane. Ova nelagodnost se postepeno smanjuje kako se zubi prilagođavaju novom pritisku.
U nekim slučajevima, nakon zatezanja žica, može doći do ponovnog pojavljivanja blage nelagodnosti koja obično traje nekoliko dana.
Ortodonti često preporučuju upotrebu analgetika, kao što su ibuprofen ili paracetamol, kako bi se olakšala nelagodnost tokom prvih dana nošenja proteze.
Dakle, iako nošenje fiksne ortodontske proteze može izazvati blagu nelagodnost, većina pacijenata ne doživljava jaku bol, a simptomi se obično smanjuju u kratkom vremenskom periodu.
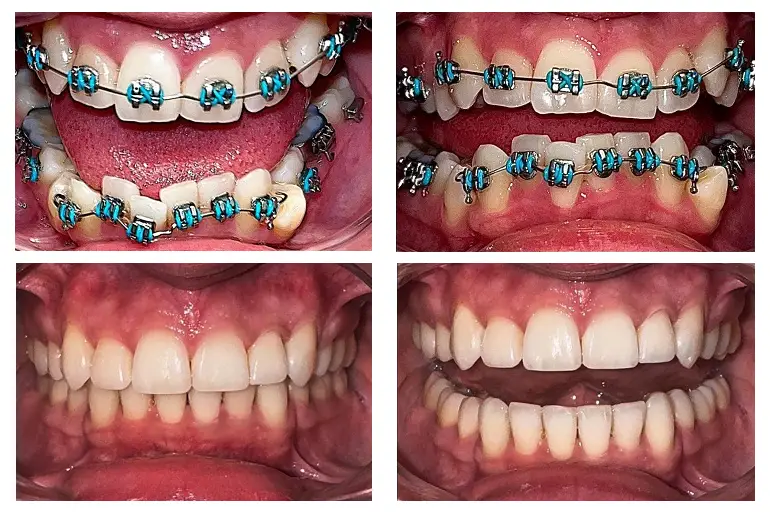
Fiksna proteza pre i posle
Pre početka tretmana, pacijenti se često suočavaju sa nizom izazova. Na primer, neravni zubi, preklapanje ili veliki razmaci mogu uzrokovati nesigurnost i smanjeno samopouzdanje.
Osim toga, nepravilan zagrižaj često dovodí do otežanog čišćenja, povećavajući rizik od karijesa i gingivitisa. Takođe, mnogi imaju probleme sa žvakanjem ili čak bol u vilici i glavi usled loše okluzije.
Međutim, nakon uspešno završenog lečenja, promene su gotovo uvek revolucionarne.

Najuočljivija razlika je u estetici. Pravilno poravnati zubi stvaraju harmoničan i privlačan osmeh koji pacijentima vraća samopuzdanje.
Zatim, dolazi do ogromnog poboljšanja oralne higijene. Zubi koji su pravilno postavljeni daleko su lakši za čišćenje, čime se dramatično smanjuje rizik od budućih dentalnih problema.
Funkcionalne prednosti su podjednako impresivne. Poboljšani zagrižaj omogućava efikasnije žvakanje i bolju digestiju, dok se istovremeno eliminišu bolovi uzrokovani napetosti u vilici.
Konačno, ne bi trebalo zaboraviti ni dugoročne zdravstvene koristi. Pravilno poravnati zubi ravnomernije distribuiraju silu pri žvakanju i štite zube od prekomernog trošenja i oštećenja.
Ukratko, rezultati nošenja fiksne proteze mogu značajno poboljšati kako izgled, tako i funkcionalnost zuba, što doprinosi opštem zdravlju usne šupljine i kvalitetu života pacijenata.
Koliko košta fiksna proteza
Cena fiksne proteze u Srbiji varira u veoma širokom rasponu, stoga je nemoguće dati jedinstven odgovor.
Pre svega, konačna cena zavisi od broja faktora, a osnovni je tip izabrane proteze.
Na primer, klasična metalna fiksna proteza je najpristupačnija opcija, sa cenom koja se obično kreće od 1000 do 1.400 evra za obe vilice.
Ova cena najčešće uključuje sve elemente: brave, žice, redovne kontrole i podešavanja tokom standardnog trajanja lečenja.
Keramička fiksna proteza predstavlja estetski superiorniju opciju, ali i veći izdatak. Njena cena se tipično kreće u rasponu od 1.500 do čak 2.500 evra za kompletno lečenje.
Ovaj porast cene opravdan je skupim materijalom i složenijom procedurom postavljanja providnih bravica.
Najskuplja opcija je lingvalna proteza (nevidljiva), čija se cena može kretati i od 2.500 do 4.000 evra ili više.
Ova cena reflektuje visok stepen personalizacije, specijalizovane komponente i tehničku zahtevnost samog postavljanja.
Važno je naglasiti da na konačnu cifru mogu uticati i dodatni troškovi, kao što su: početna dijagnostika (snimci), vađenje zuba ako je potrebno, te konačno, faza zadržavanja rezultata retencijom (retejnerima) koja se plaća posebno.
Najbolje je konsultovati se sa ortodontom koji će, nakon pregleda, dati preciznu i personalizovanu ponudu za vaš slučaj.
Zaključak
Kao što smo videli, fiksna proteza predstavlja mnogo više od puke korekcije zuba. Ona je, pre svega, sveobuhvatno rešenje koje integriše funkcionalnost, estetiku i dugoročno oralno zdravlje.
Kroz različite tipove, od klasičnih metalnih do potpuno nevidljivih lingvalnih i providnih sistema, omogućava personalizovan pristup za svakog pacijenta.
Proces nošenja proteze zahteva strpljenje i disciplinu, ali rezultati su uvek vredni truda.
Naime, pravilno poravnati zubi ne samo da stvaraju harmoničan osmeh već i sprečavaju buduće komplikacije poput parodontopatije, bolova u vilici i oštećenja zuba.
Takođe, olakšano održavanje oralne higijene direktno doprinosi celokupnom zdravstvu.
Ipak, uspeh tretmana ne zavisi isključivo od ortodonta. Vaša posvećenost redovnim kontrolama i pažljivoj nezi je kĺjučni faktor za postizanje i održavanje idealnih rezultata.
eStomatologija Team čini nekoliko doktora stomatologije koji nastoje da pruže čitaocima savete i uvide iz najnovijih istraživanja o različitim stomatološkim temama na zabavan i razumljiv način.